普通会员
登录
专家专栏
健康分类
学银在线
DICOM知识库
高级三维软件
免费压缩图片
文库
临床医学
内科学
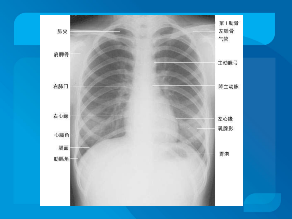
传染科-脓胸.ppt
21页
下载0
2024-07-31
浏览131
收藏0
喜欢0
评分-
免费文档
温馨提示:当前文档最多只能预览 5 页,若文档总页数超出了 5 页,请下载原文档以浏览全部内容。
剩余16页未读,
下载浏览全部
收藏
已收藏
喜欢
已喜欢
菁菁
这个人很懒,什么都没留下
未认证用户
查看用户
该文档于
上传
推荐文档
心脏病学袖珍诊疗彩色图谱(扫描版).pdf
神经内科常见病用药处方分析.pdf
最新文档
Braunwald - Heart Disease - A Textbook of Cardiovascular Med.pdf
《类风湿性关节炎》,王玫晓,赵京津,甘肃科学技术出版社,2006.pdf
心血管药理学(第三版)(高清版).pdf
heart_book.pdf
协和听课笔记:内科学(下).pdf
Endotracheal Extubation气管拔管术.pdf
协和听课笔记:内科学(上).pdf
Blood杂志.pdf
blood-pdf.pdf
Blood_Tests.pdf